
Thirona, an artificial intelligence (AI) software company specialising in medical image analysis, developed an AI algorithm that revolutionizes cystic fibrosis (CF) care. The new algorithm, coined PRAGMA-AI, allows for fast, automated analysis of CT scans of patients with CF to detect and quantify lung abnormalities related to CF. These quantifications are critical in determining the status of the patient and determine optimal treatment paths but are not feasible to be performed by humans in clinical care. The release of PRAGMA-AI paves the way for large-scale usage in clinical trials and clinical care for better diagnostics, patient monitoring, and treatment planning.
Assessment in seconds
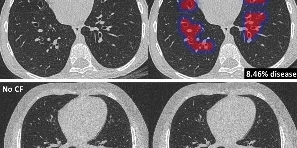
CF is a rare genetic disorder with approximately 70,000 known cases worldwide, characterized by severe lung problems and reduced life expectancy. To help decide on appropriate care, clinical experts previously developed PRAGMA-CF, a quantitative method for assessment of CF lung disease on CT scans. But PRAGMA-CF is time consuming, taking up to several hours per patient and requiring highly trained data analysts – an infeasible task in a clinical setting. Medical AI software company Thirona, which also works on diseases like COPD, Asthma, and Tuberculosis, has now automated this method with far reaching potential for patient care. Their solution can analyze CT scans of CF patients in several seconds, without human interference.
High diagnostic performance
The new AI-based algorithm PRAGMA-AI, part of Thirona’s lung quantification software package LungQ, automatically identifies lung abnormalities related to CF, such as abnormal airways and collapsed lung tissue. These measurements supply sensitive and objective information on the pattern and extent of CF lung disease. This is critical information, allowing clinicians to monitor disease progression and supporting clinical decision-making for treatment plans. LungQ PRAGMA-AI has been validated on a large number of scans of CF patients, showing high diagnostic performance comparable to trained human analysts.
Search for new treatments
These developments pave the way for using the PRAGMA method in both clinical trials and clinical care. Prof. Harm Tiddens from Erasmus Medical Center, who co-developed the original PRAGMA-CF method, is proud to see the method automated. “It allows for large scale investigation of CF lung disease in both research studies and clinical trials. This is a crucial component in the evaluation of new expensive treatment options for patients suffering from CF”, says Prof. Tiddens. He further explains: “CF patient registries, collecting information on the health status of CF patients, have already shown interest in the PRAGMA-AI method. They use patient information to create care guidelines, drive quality improvement, and to study CF treatments and outcomes.”
