
Peninsula Imaging Network (PenRAD) consisting of four NHS Trusts in Devon, Cornwall and the Isles of Scilly, has gone live with the UK’s first commercial deployment of the Qure.ai Artificial Intelligence (AI) for chest CT (qCT). It aims to assist radiologists with the early detection and monitoring of lung nodules, that can be indicative of lung cancer.
The AI is currently processing around 1,200 Chest CT scans from patients each week across all four NHS trusts – Royal Cornwall Hospitals NHS Trust; Royal Devon University Healthcare NHS Foundation Trust; Torbay and South Devon NHS Foundation Trust; and University Hospitals Plymouth NHS Trust. The patient population supported are from a mix of coastal, rural and urban locations in the significantly sized Southwest England peninsula.
The Chest CT AI was implemented with funding from the government’s £21m Artificial Intelligence Diagnostic Fund (AIDF). PenRAD chose the qCT solution for its bid to the AIDF, in collaboration with Health Innovation Southwest and the Peninsula Cancer Alliance.
Tej Pandher, a Consultant Radiologist at University Hospitals Plymouth NHS Trust states, “Lung nodule AI assistance helps to identify and track suspicious nodules over time. The reporting radiologist can then put any such nodules into a clinical context and provide useful information for further follow up and/or treatment.”
“We are delighted to be live with qCT at PenRAD to support with the digital transformation of healthcare in the region and extend the potential of AI-powered early lung cancer detection. Lung cancer is the leading cause of cancer-deaths worldwide, with approximately 75% of patients detected in late-stage disease. Earlier detection can boost survival rates, by over 90% if treatment starts at stage 1,” states Surabhi Srivastava, UK Business Head at Qure.ai.
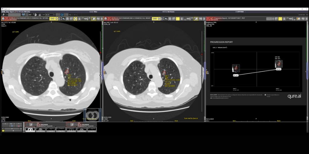
“qCT has been designed to provide clinical decision support in the detection, characterisation, quantification and monitoring of lung nodules. It can also pull patient images from prior examinations to provide comprehensive nodule management and support progression monitoring over time. This makes it easier for the clinician to assess the growth of nodules with standardised data for volumetry assessment and an auto assigned malignancy risk score of pulmonary nodules using the Brock model/ BTS Guidelines,” continues Surabhi Srivastava.
qCT from global healthcare AI innovator Qure.ai, is part of an end-to-end AI-powered lung cancer care continuum suite of solutions for chest X-ray and CT, to detect, measure and track lung nodules.
